Call Us Today
908-806-4333
Call Us
Our Location
Email Us
Schedule
Toggle navigation
Menu
Home
About Us
Meet the Doctor
Tour Our Office
Services
Emergency Dentistry
Cosmetic Dentistry
Cosmetic Dentistry
Dental Spa
Dental Crowns and Bridges
Dental Implants
Porcelain Veneers
Teeth Whitening
Prosthodontic Treatments
Restorative Dentistry
Restorative Dentistry
Dental Crowns and Bridges
Dental Implants
Dentures
General and Family Dentistry
Endodontic Treatments
Root Canals
Comfort Dentistry
Invisalign
Clear Aligners
Periodontics
TMJ/TMD Treatment
Dental Technology
Oral DNA Testing
Showcase
Smile Gallery
Patient Info
Patient Comforts
Frequently Asked Questions
Patient Forms
Financial Policy
Out of Town Guest
Post Treatment Instructions
Contact Us
Schedule Online
85 Reaville Ave Flemington, NJ 08822
908-806-4333
Search for:
Go
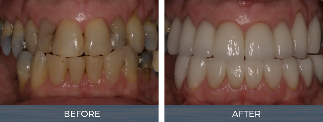
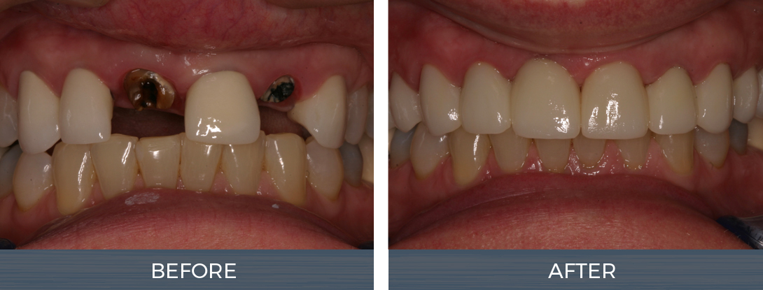
Smile Gallery
Sophisticated Smiles
•
85 Reaville Ave Flemington, NJ 08822
•
Call:
908-806-4333
Contact Us
Name:
Email:
Phone:
Message:
Please leave this field empty.
NagiosCheckValue - Do not remove please